걸음이 걸어지지 않고 발이 축 쳐져서 자꾸 넘어졌어요. 다리에 힘이 빠져서 걸으면 걸려서 넘어지는 거예요. 그래서 발목하고 발바닥하고 연결하는 보조기를 나갈 때 항상 하고 다녔어요. 그걸 안 하면 걸을 수가 없으니까요. 한 10분 정도 걸으면 힘이 막 빠졌는데 그런 증상하고 통증도 있죠. 걸을 때마다 이제 무릎 아래가 계속 아프고 발목도 아팠어요.
걸음이 안 걸어졌어요. 제가 보기에는 괜찮았는데 남들이 다리를 전다고 그러더라고요. 그래서 깜짝 놀랐죠. 까치발도 안 되고 뒤꿈치로 서는 것도 안 되고요. 저는 모커리 와서 족하수 증상을 처음 들었어요.
다리 한쪽이 엉덩이부터 발끝까지 다 가늘어졌어요. 반대쪽보다. 3분의 1 정도가 가늘어진 것 같아요.
작년 1년 반 전에 허리협착증 수술을 했어요. 미세감압술 받았어요. 수술이라고 하더라고요. 수술하고 나서 조금 좋아지는 것 같더니 더 나빠지는 거예요. 점점 더 걸음이 안 걸어지는 거예요. 다리에 힘이 더 빠지는 거죠. 다리를 들 수가 없게 된 거예요. 그래서 그 이후로 온 병원을 전전했죠.
수술은 잘 됐대요. 허리 때문에 그런 게 아니래요. 해줄게 없다고 그러더라고요. 너무 힘들었어요. 그래서 우울했죠.
병원을 진짜 다 다녔어요. 강남에 유명한 병원 다니고 그랬어요. 올해만 해도 MRI를 세 번이나 찍었어요. 근데 병원들이 MRI에 대한 소견만 보는 것 같아요. 신경외과에서는 해줄 게 없다고 재활 치료를 받으라고 해서 재활의학과 가니까 전기 치료만 하고 뭐 다른 게 없더라고요. 다시 또 정형외과로 가라고 전과를 시키더라고요. 체외충격파 이런 것도 엄청 받았는데 병원에서는 이제 더 이상 해줄 게 없다고 그러더라고요. 저는 진짜 힘들었죠. 온갖 치료를 받아도 안 돼 가지고 희망이 없으니까요.
밤에 너무 심란해서 유튜브를 찾아보다가 모커리 치료후기에서 저랑 똑같은 증상을 발견한 거예요. 저랑 증상이 비슷한 사람을 본 적이 없어요. 근데 호전됐다고 그러더라고요. 그래서 진짜 마지막이다 생각하고 다음 날 아예 입원하려고 짐을 다 싸 갖고 모커리로 왔죠. 친구들은 부정적으로 말했죠. ‘침으로 그게 될 수 있을까’ 그런 얘기들을 많이 했죠.
이 환자분은 협착증으로 왼쪽 다리 방사통과 발목 마비, 즉 까치발이 안 되고 뒷꿈치로 서지 못하는 족하수 증상이 있어서 내시경 감압술을 1년 반 전에 받았는데 수술 후에 오히려 다리 방사통도 더 심해지고 다리 마비 증상 즉 발목 힘빠짐이 더 심해지고 종아리 근육이 많이 빠져 양쪽 다리가 짝짝이 되신 환자분입니다.
우선 제가 MRI를 보면서 설명드린 후 어떻게 이런 환자분이 즉 수술 후에도 마비가 풀리지 않고 방사통도 좋아지지 않고 오히려 악화되는 환자분이 비수술 치료로 회복될 수 있는지 설명 드리겠습니다.
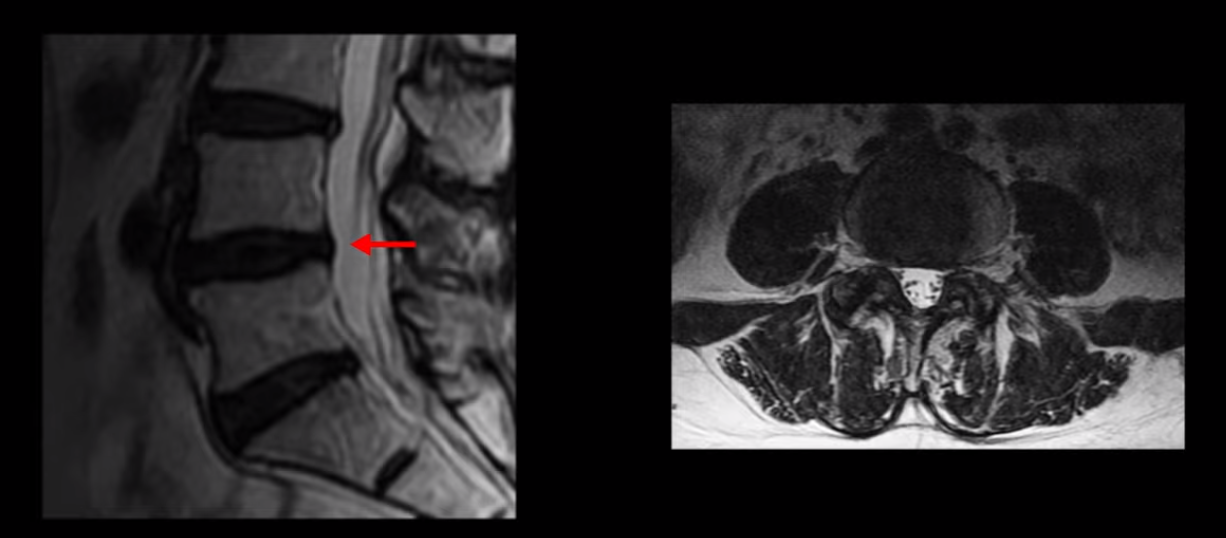
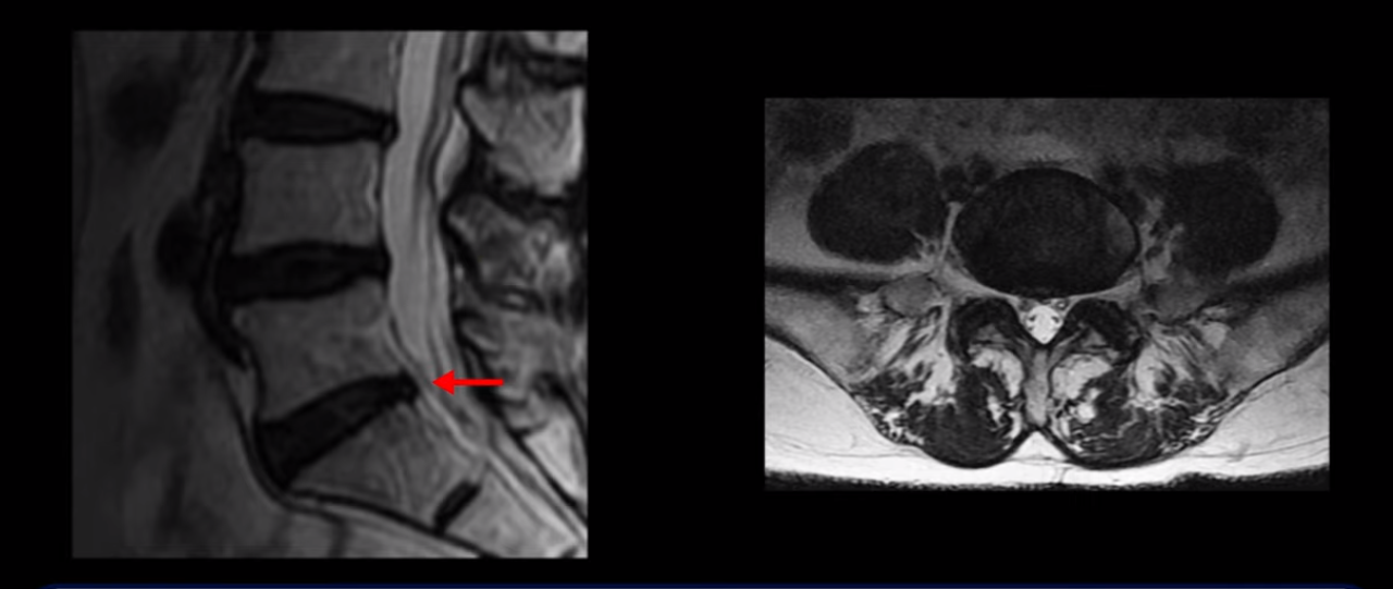
이분 MRI를 보시면 허리 세 마디가 퇴행은 있으나

척추관도 3번 4번

4번 5번

5번 1번

전부 다 충분히 넓고 왼쪽 다리 쪽으로 신경이 나가는 추간공도 전부 다 충분히 넓은 상태입니다.

신경이 눌려 보이지 않는 겁니다. 그러니까 수술 후 MRI를 보고 모든 병원이 전부 다 ‘수술은 잘돼 있다’, ‘아무것도 해줄 게 없다’ 그냥 기다리라고만 얘기했다고 합니다. 신경외과, 정형외과, 재활의학과가 서로 다른 과로 전과시키면서 다들 아무것도 해줄 게 없다고 하니 희망을 잃은 상태였다고 했습니다.
그런데 저희 수많은 치료후기들을 보시면 감압술 후 마비가 풀리지 않고 오히려 괜찮던 다리에 추가적인 마비가 생긴 환자분,

감압술 수술을 두 번이나 했으나 발목 마비가 풀리지 않은 환자분,

MRI에 신경이 눌려 보이지 않는데 무릎과 발목이 완전히 마비된 환자분,

목에서 눌린 척추 신경을 풀어주는 척수증 수술을 받았는데 양쪽 다리가 마비가 전혀 풀리지 않는 환자분들처럼

정말 어떤 치료를 받아야 할지 몰라 절망적인 분들이 많습니다. 저희는 이런 환자분들을 근육신경재활치료로 치료하고 있는데요. 도대체 어떻게 치료하는 걸까요? 지금부터 설명해 드립니다.
수술 후에 수술이 잘 됐다는데도 마비가 풀리지 않거나 방사통이 좋아지지 않는 환자들이 꽤 많습니다. 그건 왜 그럴까요? 저희가 항상 수없이 반복해서 설명 드리고 있지만 마비와 통증에 있어 신경과 근육은 한 세트, 즉 한 쌍으로 같이 움직이는 겁니다. 신경만 단독으로 문제가 있지 않습니다. 신경에 염증이 있어서 신경학적 방사통이 있으면, 근육과 피부 분절을 통해 통증이 나타나는 겁니다. 마비가 있다면 신경만 마비되는 게 아니라 근육이 같이 마비되기 때문에 근육이 움직이지를 못하는 겁니다.
그런데 수술은 뭘 해 주는 겁니까? 수술은 허리에서만 눌린 신경을 풀어주는 겁니다. 그런데 정작 발목 마비가 있다면 움직이지 못하는 건 발목의 근육이 움직이지 못하는 겁니다. 그래서 저희가 이런 비유를 합니다. 신경을 풀어주는 수술은 정전이 됐을 때 한전에서 전기 공사를 해 주는 거고, 저희가 하는 치료는 전기 공사와 함께 전기가 끊어져서 돌아가지 못하는 공장을 돌리기 위한 준비 작업을 해 주는 것이라고 말입니다.
한전에서 전기 공사를 아무리 잘해놔도 정전으로 멈춰버린 공장이 준비가 안 돼 있으면 공장이 돌아갈 수가 없습니다. 그래서 공장도 준비 작업을 해 줘야 되는 겁니다. 신경에서 신호를 잘 보내주는 게 전선이 전기 신호를 잘 보내주는 것과 같다면, 전기를 받아서 공장이 잘 돌아가는 게 신경에서 신호를 잘 받아서 근육이 잘 움직이는 것과 같은 겁니다.
그런데 마비가 오래되면 저희가 어떻게 된다고 그랬습니까? 근육이 망가진다고 그랬습니다. 전기가 끊어진 채로 공장이 오래되면 어떻게 됩니까? 공장이 망가집니다. 공장에 녹이 슬고 먼지가 끼고 망가지는 겁니다. 그래서 근육이 많이 망가질수록 마비가 회복되기가 어렵습니다. 마치 공장 가동이 오래 중단돼서 먼지가 끼고 녹이 슬면 공장이 돌아갈 수 없는 것처럼 말입니다. 그래서 저희가 마비가 진행이 되면 근육이 망가지기 전에 빨리 치료를 시작하라고 하는 이유가 바로 이겁니다.
이분은 수술을 받은 지 이미 1년 반이 지났고 한쪽 종아리 근육이 다른 쪽에 비해서 3분의 1이 줄어들 정도로 다리 근육이 심하게 망가진 상태였습니다. 이런 마비 환자를 치료할 때는 저희가 허리 쪽만 치료하는 게 아니라 허리부터 발목, 발바닥까지 신경이 쭉 근육과 근육층을 통해서 뻗어나가고 있는 전체를 반복해서 치료해야 된다고 설명 드렸습니다. 침으로도 자극을 주고 전기적인 자극도 주고 약침이나 봉침으로도 자극을 주고 손으로도 신경이 통과하는 근육들을 만져서 뭉친 걸 풀어줍니다. 이런 치료를 이완추나 또는 도수치료라고 합니다. 그리고 아주 가볍게 근육과 신경의 기능을 회복시키는 가벼운 운동을 계속 반복해서 시킵니다. 그래서 하루에 네 번 이상 치료를 진행하는 겁니다.
이런 반복적인 치료를 통해서 근육과 신경 간에 신호 전달이 원활해지면 마비가 풀리는 겁니다. 그래서 이 치료 이름을 근육신경재활치료라고 부릅니다. 그럼 이분은 4주 만에 마비가 풀리고 발목에 힘이 더 생겼을까요? 방사통이 90% 이상 사라졌을까요? 이분의 치료 후 결과가 궁금하시다면 아래 영상을 꼭 보시길 바랍니다.
강남 모커리한방병원은 보건복지부 지정 한방 척추전문병원으로, 다년간 수많은 척추관절 환자들을 치료하여 치료 숙련도와 완성도가 높은 의료진이 환자별 상태에 맞는 척추수술 후 통증 재활치료 프로그램을 운영하고 있습니다. 한,양방 협진 아래 다양한 치료를 복합적으로 적용하여 척추 주변 근육의 기능을 빠르게 회복시키고 허리 근력을 강화하여 수술의 효과를 더욱 오래 유지할 수 있도록 하고, 수술 후 남을 수 있는 증상 개선에 도움을 줍니다.

보다 많은 환자분들과 건강정보를 공유하고자 개방형 게시판으로 건강상담을 운영하고 있습니다. 목과 허리 통증•디스크•협착증•교통사고•어깨•무릎 등 궁금하신 질문을 남겨주시면 전문의가 최대한 자세하게 답변 드립니다.